O nama
Dr Neda Nikolić je 1987. godine osnovala jednu od prvih stomatoloških ordinacija u Beogradu i započela polivalentnu stomatološku praksu
koja je rešavala probleme iz svih oblasti stomatologije, uz insistiranje na najvišim estetskim i etičkim zahtevima struke.
Danas stručni tim predvođen dr Nedom Nikolić karakteriše kompletno zbrinjavanje pacijenta - od dijagnostičkih postupaka, preventive i
informisanja pacijenata, do najnovijih tehnologija i materijala u izradi zubnih nadoknada, na osnovu znanja stečenih kontinuiranom
edukacijom na brojnim stručnim skupovima u zemlji i inostranstvu.
Kroz više od dve decenije iskustva tradicionalno postoji saradnja sa doktorima nauka iz svih specijalnosti i vrhunskim zubnotehničkim
laboratorijama, a skorim zapošljavanjem mladih kolega - i sa novom generacijom doktora stomatologije sa Beogradskog univerziteta.
Po čemu se izdvajamo?
Prva stomatološka ordinacija u Srbiji koja je uvela u proces rada protokole menadžmenta kvaliteta shodno principima ISO 9001 standarda,
što znači najviši mogući kvalitet krajnjeg rezultata- na jednak način , kod svakog našeg pacijenta.
28. godina iskustva u privatnoj stomatološkoj praksi i zadovoljni pacijenti iz preko 20 zemalja.
Akcenat na kontinuranoj edukaciji kroz stručne publikacije i kongrese, najnovije tehnike primenjene u praksi
Stalna saradnja sa kolegama iz inostranstva
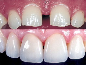
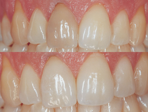
Savladavanje najvećeg izazova u stomatologiji: mogucnost potpune transformacije osmeha tzv. Smile make-over, bezbolno i brzo
(slučajevi opsežnih promena u oralnoj regiji, gubitaka velikog broja zuba, posledice straha od stomatologa itd.)
Tim zubnih tehničara-saradnika i kurirskih službi koji tesno sarađuje sa dr Nedom Nikolić je na stalnom raspolaganju i omogućava
vanredno brzu izradu kruna, mostova i proteza.
Pre svega, izdvajamo se po vrhunskom finalnom rezulatu!